| |
 |
|
| |
|
|
| |
FULL MOUTH REHABILITATION |
|
| |
|
|
| |
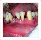
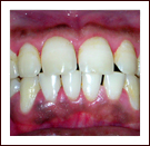
This is a concept where after a proper examination and diagnosis a treatment plan is sketched out to fully rehabilitate patient’s quality of teeth and associated structures to the maximum possible function and aesthetics. |
|
| |
|
|
| |
IN THIS PROCESS THE DIAGNOSIS WILL POINT OUT |
|
| |
 |
Number of teeth missing |
|
| |
 |
Number of teeth decayed or carious |
|
| |
 |
Identify loose and mobile teeth |
|
| |
 |
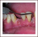
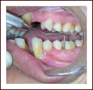
Identify gum disease |
|
| |
 |
Recession of gums |
|
| |
 |
Discoloration of teeth |
|
| |
 |
Crowding and mal-alignment of teeth |
|
| |
 |
Identify the state of oral hygiene |
|
| |
 |
Assess the healthy state of the oral mucosa |
|
| |
|
|
| |
(The skin of the palate, the skin of the under surface of the tongue, tonsil region, inside the cheeks, floor of the mouth, throat, etc are carefully examined to screen any abnormalities.) |
|
| |
|
|
| |
FOLLOWING EXHAUSTIVE EXAMINATION AND ASSESSMENT, THE SEQUENCE OF MEASURES ARE CARRIED OUT |
|
| |
 |
All non salvageable teeth are removed |
|
| |
 |
All foci of infection are eliminated, including gum infection |
|
| |
 |
All decayed and carious teeth are restored |
|
| |
 |
All lost teeth are replaced preferably by dental implants or removable flexible dentures |
|
| |
 |
Cosmetic dental treatments are carried out to fulfill the patient’s demands |
|
| |
|
|
| |
(To improve on the discoloration of teeth, veneers or teeth whitening is done,
Smile correction is performed to eliminate gaps, crowding and mal-alignment
and Shape and size of the teeth are redesigned to ones just like the real teeth.) |
|
| |
|
|
| |
This concept is widely becoming popular and it is worth for dental tourists to travel a long way for this major makeover. All what is needed can be discussed before hand and expenses can be worked out time frame and visits required can also be charted out. |
|
| |
|
| |
|
|
| |
|
| |
TOOTH JEWELLERY |
| |
|
| |
Teeth jewellery is a brilliant way to add sparkles to your smile and stand out of the crowd. The beauty of a dazzling white smile can be further enhanced by use of “Tooth Jewellery”. These jewels are made of crystal glass and are available in various colors. They are glued to the front surfaces of the upper anterior teeth. Placing these stones is a very brief procedure but it goes a long way in satisfying the dental cosmetic needs of the patient. |
| |
|
| |
 |
It’s temporary |
| |
 |
It’s painless |
| |
 |
Its fun |
| |
 |
No drilling or holes |
| |
 |
Does not harm the tooth |
| |
|
| |
|
| |
|
| |
COSMETIC FILLINGS |
| |
|
| |
As a patient, your dentist should inform you of the availability of the white composite fillings. If you have had amalgam fillings placed in your mouth without being offered the option of having white fillings instead, the dentist has not performed his or her legal duty. |
| |
|
| |
Given the opportunity to make a fully informed choice, my experience is that the vast majority of today's dental patients will choose the white fillings. There are several reasons for this: In the view of many, the mercury in amalgam is viewed as potentially toxic. (Traditional dentists like to use the term "silver fillings," but they have more mercury in them than silver.) Also, the feeling is that the white composite represents a more advanced technology. Additionally, composite is more esthetic. For all these reasons, the public is demanding white. And, with today's technology, composite fillings can easily withstand the stress required to serve in a back tooth. |
| |
|
| |
ADVANTAGES OF WHITE FILLINGS |
| |
 |
Since they bond to the tooth, composite fillings restore most of the original strength of the tooth. Silver weakens the teeth, making them more susceptible to breaking. Since broken teeth are very expensive to restore, composites can save a lot of expense over the long run. |
| |
 |
Composite fillings restore the natural appearance of the tooth. |
| |
 |
Teeth restored with white fillings are less sensitive to hot and cold than teeth restored with amalgam, if correct techniques are used. |
| |
 |
Composites are mercury-free. Mercury in the fillings is viewed by some as being toxic. |
| |
 |
Composites require less removal of tooth structure. Especially with new cavities, the size of the hole made for the filling can be dramatically smaller with composites. |
| |
|
| |
One caution-the composite fillings can be seriously weakened by excessive alcohol consumption. If you have a habit of drinking beverages with high alcohol content (whiskey, etc.) on a daily basis, you may find the composite fillings deteriorating prematurely. |
| |
|
| |
Dental schools, as a rule, do not fully train dentists for placing these newer types of fillings. Unfortunately, dentists have to pursue additional post-graduate continuing education to become proficient in composite bonding technology. |
| |
|
| |
|
| |
|
| |
CROWN AND BRIDGES |
| |
|
| |
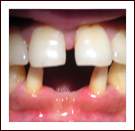
A bridge stabilizes the bite of a patient who is missing one or more teeth. Dental bridges are meant to replace missing teeth by "bridging" the gap between two remaining teeth. This involves creation of a pontic (false tooth) with a dental crown on either side. The crowns are fitted over the remaining teeth to hold the false tooth in place. |
| |
|
| |
When there are only teeth on one side of the gap, cantilever bridges may be given. Cantilever bridges consist of two side-by-side crowns and only one is connected to the false tooth or pontic. |
| |
|
| |
A fixed bridge helps to |
| |
 |
Replace missing tooth/teeth |
| |
 |
Helps balance a normal bite. |
| |
 |
Helps prevent undesirable stress on the dental ridge. |
| |
 |
Prevents over-eruption of the opposing teeth |
| |
 |
Prevents drift and tilt of adjacent teeth |
| |
 |
Prevents tooth decay in adjacent drifted teeth |
| |
 |
Retards onset of gum diseases |
| |
|
| |
Unlike partial dentures, bridges are permanent; patients need not remove them. The missing tooth is replaced with an artificial tooth connected between two crowns (caps), which are permanently cemented or bonded on the adjacent teeth. |
| |
|
| |
Bridges can be used to replace a small number of missing teeth if the neighboring teeth are sufficiently strong. The number of missing teeth, condition of the neighboring teeth, condition of the supporting gums and bone are all important factors which need to be assessed prior to making a bridge. |
| |
|
| |
|
| |
|
| |
LASER PERIODONTAL SURGERY |
| |
|
| |
Did you know that laser periodontal surgery eliminates up to 99% of bacteria that causes gum
disease? It is a non-invasive, gentle alternative to the dreaded scalpel and suture procedure. If
you have gum disease that has gone from mild to severe ask our team about the laser treatment
method. The best part is there is no pain because no cutting is involved.
The laser has a tiny laser fiber about as thick as three strands of hair. It works by producing an
invisible beam of energy. Laser use is growing very popular among dentists and patients because
they are substantially less traumatic. |
| |
|
| |
There are various uses of Laser in Periodontal surgeries and endodontic treatment: |
| |
 |
Periodontal Flap Surgery |
| |
 |
Implant therapy |
| |
 |
Gingivectomy |
| |
 |
Crown lengthening |
| |
 |
Abscesss drainage |
| |
 |
Minor surgical procedures |
| |
 |
Frenectomy |
| |
 |
Removal of enlarged tissue or growth |
| |
 |
Sterilisation of canals during root canal treatment |
| |
 |
Bleaching |
| |
|
|
| |
|
| |
|
| |
|
| |
ROOT CANAL TREATMENT |
| |
|
| |
In simple terms, root canal treatment is the removal of the infected soft tissue within the tooth and its replacement by an artificial inert ‘filling’ material. This procedure basically saves the tooth and eliminates dental pain. |
| |
|
| |
Advantages of getting it done at Dr.Viral’s Clinic : |
| |
 |
Absolutely painless and extremely comfortable. |
| |
 |
Generally completed in a single sitting of 45 minutes. If required, upto 6 root canals can be performed in a single sitting. |
| |
 |
Performed by experienced endodontists who exclusively practice root canals. (endodontists are dentists who further specialize in the root canal treatment). |
| |
 |
Single Visit treatment in 95% cases |
| |
 |
Use of advanced equipments |
| |
|
| |
|
| |
|
| |
VENEERS AND LAMINATES |
| |
|
| |
Dental veneers (sometimes called porcelain veneers or dental porcelain laminates) are wafer-thin, custom-made shells of semi translucent tooth-colored porcelain designed to cover the front surface of teeth. These shells are bonded to the front of the teeth changing their color, shape, size or length and resulting in an improved appearance. |
| |
|
| |
Not all teeth are good candidates for veneers. Veneers are best placed on healthy teeth that can provide adequate support and are fairly well aligned. Some minor alignment problems can be corrected with veneers. This is sometimes called "instant orthodontics." Other likely candidates are teeth with gaps or spaces, dark colors or bad stains, chips or cracks. |
| |
|
| |
The procedure is done in two appointments. On the first, a small amount of surface enamel ( 1/50 inch) is buffed away, shaping each tooth which will receive a veneer. An impression of the teeth is made for use by our onsite dental laboratory where the veneer is fabricated. Digital photographs and computerized shade matching are used to achieve the best possible cosmetic result. |
| |
|
| |
|
| |
|
| |
IMPACTION / WISDOM TOOTH |
| |
|
| |
Wisdom teeth usually emerge from the gum (erupt) between the ages of 17 and 24. They are the last of the molar teeth. Some people never develop wisdom teeth; others have up to four - one in each corner of the mouth. |
| |
|
| |
Wisdom teeth often cause no problems. They are described as impacted when there is not enough space for them at the back of the mouth. In such a case it might erupt towards the cheek or it might impinge on the second molar. Impacted wisdom teeth can cause pain, swelling, infection or damage to the teeth next to them. If the gum around the wisdom tooth is swollen the jaw may become stiff and sore. Infection at the back of the mouth can cause bad breath and a bad taste. |
| |
|
| |
The surgical removal (extraction) of one or more wisdom teeth can relieve these problems. People who have impacted wisdom teeth that are not causing problems do not need to have them removed. |
| |
|
| |
Having wisdom teeth removed is often the only way to permanently relieve painful symptoms. Although antibiotics can provide temporary relief, the symptoms tend to flare up again in the future.
The removal of such impacted wisdom tooth has to be accomplished surgically. |
| |
|
| |
Usually the surgery is followed by some swelling, difficulty in opening the mouth and difficulty in eating. The degree of discomfort will depend on the type of impaction. |
| |
|
| |
|
| |
|
| |
IMPLANTS |
| |
|
| |
With Fixed Prosthesis |
| |
A dental implant is an artificial tooth root that a periodontist places into your jaw to hold a replacement tooth or bridge. Dental implants are an ideal option for people in good general oral health who have lost a tooth or teeth due to periodontal disease, an injury, or some other reason.
While high-tech in nature, dental implants are actually more tooth-saving than traditional bridgework, since implants do not rely on neighboring teeth for support.
Dental implants are so natural-looking and feeling, you may forget you ever lost a tooth.You know that your confidence about your teeth affects how you feel about yourself, both personally and professionally. Perhaps you hide your smile because of spaces from missing teeth. Maybe your dentures don't feel secure. Perhaps you have difficulty chewing. If you are missing one or more teeth and would like to smile, speak and eat again with comfort and confidence, there is good news! Dental implants are teeth that can look and feel just like your own! Under proper conditions, such as placement by a periodontist and diligent patient maintenance, implants can last a lifetime. Long-term studies continue to show improving success rates for implants. |
| |
|
| |
|
| |
What Dental Implants Can Do? |
| |
 |
Replace one or more teeth without affecting bordering teeth. |
| |
 |
Support a bridge and eliminate the need for a removable partial denture. |
| |
 |
Provide support for a denture, making it more secure and comfortable. |
| |
|
| |
Types of Implants in Use Today |
| |
 |
Endosteal (in the bone) |
| |
 |
Subperiosteal (on the bone) |
| |
|
| |
Advantages of Dental Implants Over Dentures or a Bridge |
| |
Every way you look at it, dental implants are a better solution to the problem of missing teeth |
| |
 |
Esthetic Dental implants look and feel like your own teeth! Since dental implants integrate into the structure of your bone, they prevent the bone loss and gum recession that often accompany bridgework and dentures. No one will ever know that you have a replacement tooth. |
| |
 |
Comfort |
| |
|
| |
|
| |
|
| |
IMPLANT WITH DENTURE |
| |
|
| |
We also provide Implant with denture. These are especially useful when the upper or lower jaw bone is poor and causes the denture to be loose. ISODs offer much better retention.
INDICATIONS OF IMPLANT WITH DENTURES
• Denture stabilized with implants. So renewed confidence and improved quality of life as well
• Possible to use existing dentures
• Removable
• Simple and relatively Inexpensive |
| |
|
| |
|
| |
|
| |
ROOT PLANNING |
| |
|
| |
Scaling and root planing is the most common and conservative form of treatment for periodontal (gum) disease. Scaling is the removal of calculus (commonly called tartar) and plaque that attach to the tooth surfaces. The process especially targets the area below the gum line, along the root. Plaque is more likely to stick to rough surfaces. For this reason, the root surface is smoothed down in a process called root planing. Root planing removes any remaining calculusand smoothes irregular areas of the root surface.
Plaque is a sticky substance, full of bacteria, that forms on teeth. When plaque hardens over time, it is called calculus.
Bacteria cause periodontal disease. Plaque and calculus provide an irregular surface that allows these bacteria to attach easily. Scaling and root planing are done to remove them. For early stages of the disease, this treatment may be all that is needed to get the condition under control. This is especially effective with gingivitis.With more advanced gum disease, scaling and root planing may be the first step before surgery.
Sometimes, scaling and root planing can be completed in one visit. This usually is possible if you have gingivitis, the earliest stage of gum disease. However, if you have periodontitis, multiple visits are usually needed. The periodontist typically will do a quarter of your mouth (a quadrant) at each visit. |
| |
|
| |
|
| |
|
| |
GINGIVECTOMY |
| |
|
| |
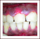
Gingivectomy is the removal of gum tissue (gingiva) by surgery. Gingivoplasty is a type of gum surgery used to reshape healthy gum tissue around teeth. Both types of surgery are typically performed by periodontists. These dentists specialize in treating gums and the other structures that support teeth.
Gingivectomy first was developed to treat periodontal disease. Today, it is more commonly used to improve the appearance of gums. Gum tissue may need to be removed for two reasons:
1. Gaps (pockets) have formed between the teeth and gums. This can trap bits of food, harbor colonies of bacteria, and make it difficult to keep the area clean. If the pockets involve only soft tissue, they can be removed by a gingivectomy (trimming the gums).
2. There is too much gum tissue around your teeth. Some people don't like how this looks and want to have it removed. It also can make teeth and gums hard to keep clean. In severe cases, this condition can interfere with chewing and speech. Excess growth of gum tissue can be caused by certain medicines. Sometimes there is no apparent cause. |
| |
|
| |
|
| |
|
| |
FRENECTOMY |
| |
|
| |
A frenectomy is the surgical removal of frenulum or frenum (frenae - plural), which is a thin band of tissue found in various parts of the body, especially the mouth. A frenectomy is a common surgical procedure in dental and orthodontic practices. Children and people being fitted for dentures are the most frequent candidates for a frenectomy. |
| |
|
| |
|
| |
|
| |
DEPIGMENTATION |
| |
|
| |
A smile expresses a feeling of joy, success, sensuality, affection and courtesy, and reveals self confidence and kindness. The harmony of the smile is determined not only by the shape, the position and the color of the teeth but also by the gingival tissues. Gingival health and appearance are essential components of an attractive smile. Gingival pigmentation results from melanin granules, which are produced by melanoblasts. The degree of pigmentation depends on melanoblastic activity. Although melanin pigmentation of the gingiva is completely benign and does not present a medical problem, complaints of 'black gums' are common particularly in patients having a very high smile line (gummy smile). For depigmentation of gingiva different treatment modalities have been reported like- Bur abrasion, scraping, partial thickness flap, cryotherapy, electrosurgery and laser. |
| |
|
| |
|
| |
|
| |
FLAP SURGERY |
| |
|
| |
Flap surgery involves lifting back the gums and removing the tartar. The gums are then sutured back in place so that the tissue fits snugly around the tooth again.Periodontal Flap Surgery, which is also called pocket depth reduction, your periodontist folds the gum back away from the tooth. Periodontal Flap surgery is recommended in many cases where pocketing depths have reached a level that makes maintenance or cleansing difficult. It is often associated with areas of bone loss and inflammation of the gum tissue around the teeth.
When scaling and root planing have been unsuccessful in eliminating the entire pocket of decay, or when there has been bone loss that needs to be surgically corrected, then a dentist may perform periodontal flap surgery. In flap surgery, under local anesthesia, small incisions are made in the gum, so that it can be lifted back to expose the tooth and bone. The entire area is carefully cleaned and all tarter and infected granulation tissue are removed and the bone is examined. Because periodontal disease causes bone loss, often the bone will need to be re-contoured in order for the gum to heal properly.
After scraping away the bacteria-laden plaque and tartar, the dentist removes diseased tissue and smoothes the surface of damaged bones. Then the dentist sews the tissue back into place. Removing or smoothing damaged tissue allows the gum tissue to better reattach to healthy bone. |
| |
|
| |
|
| |
|
| |
BONE GRAFTING |
| |
|
| |
A bone graft is used to recreate bone and soft supporting tissues lost due to gum disease. It's also called regenerative surgery.
Regenerative surgery is a treatment for the gum disease called periodontitis. People with periodontitis lose gum coverage and bone support around their teeth. Regenerative surgery regrows these lost tissues. |
| |
|
| |
|
| |
|
| |
GTR |
| |
|
| |
Guided tissue regeneration is a surgical procedure that utililizes a barrier membrane which is placed under the gum and over the remaining bone. The purpose of the procedure is to enhance and allow for the regeneration of new bone in an area where teeth are being extracted or have already been removed.
This surgical procedure is usually done to increase the bony support in an area where a dental implant is about to be placed. The surgery results in an improvement in the shape and contour of the area. |
| |
|
| |
|
| |
|
| |
CONNECTIVE TISSUE GRAFTING |
| |
|
| |
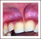
Gingival recession is an intriguing condition. The patients today are increasingly conscious of personal appearance and much attention has been focused on denuded roots that are exposed during smiling and are unesthetic. The use of subepithelial connective tissue graft represented a major breakthrough in root coverage grafting. The graft is taken from the palatal tissue and sutured at the recipient site.
The procedure can be considered as the most delicate surgical procedure amongst all periodontal surgical procedures and so extreme caution during the surgical procedure as well as post-operatively have to be followed.
It is important to understand that such a procedure needs extra skill even amongst periodontists, so it is not possible by a routine dentist to conduct the surgical procedure and achieve success. |
| |
|
| |
|
| |
|
| |
RIDGE AUGMENTATION |
| |
|
| |
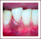
Sometimes when you lose one or more teeth, you can get an indention in your gums and jawbone where the tooth used to be. This happens because the jawbone recedes when it no longer is holding a tooth in place.
Not only is this indentation unnatural looking, it also causes the replacement tooth to look too long compared to the adjacent teeth.
A periodontist can fill in this "defect" with a procedure called ridge augmentation, recapturing the natural contour of your gums and jaw. A new tooth can then be created that is natural looking, easy-to-clean and beautiful. |
| |
|
| |
|
| |
|
| |
SINUS LIFT OPERATION |
| |
|
| |
A sinus-lift procedure is a surgical procedure, performed by an appropriately trained dentist or dental specialist, to augment bone mass in the top jaw (maxilla), which increases the likelihood of successful placement of dental implants. Bone from another part of the body, such as the iliac crest, or artificial bone grafting material is grafted into the bone (endosseous) below the floor of the maxillary sinus |
| |
|
| |
|
| |
|
| |
ORTHODONTICS |
| |
|
| |
Metal Braces |
| |
Metal brackets are the ones that are most frequently used. They appear as small metal buttons that are glued to the front of each tooth. These tend to be less expensive than other types of brackets. Additionally, they can be made colorful with ligature rubber bands that come in a wide range of colors. |
| |
|
| |
Ceramic (Tooth Colored) Braces |
| |
Ceramic brackets are made of composite materials. They are very strong and generally do not stain. Adults like to choose ceramic because they "blend in" with the teeth and are less noticeable than metal. The ligatures (tiny rubber bands) that hold the arch wire on to the ceramic brackets are often white or clear. This looks great at first, but the ligatures can stain. Unless you eat a lot of curry, smoke, or drink a lot of black coffee, this generally isn't a problem. Note that the ligatures are changed each time you get an adjustment -- usually, monthly. It's only the ligatures that stain, not the brackets themselves! |
| |
|
| |
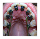
Lingual /Invisible Braces |
| |
These are the ultimate in brace concealing technology. They are placed on the backs of your teeth so nobody will even see that you have them on, unless they get an up close and personal look at the inside of your mouth. |
| |
|
| |
Back to TOP |